01.- Un varón de 84 años ha presentado en varias ocasiones, durante últimas dos semanas, episodios de pérdida de conciencia. Se realiza un electrocardiograma, donde aparece una bradicardia sinusal a 52 Ipm. Seguidamente, se monitoriza el ritmo cardíaco (holter 24 horas), apareciendo el siguiente hallazgo al mismo tiempo que un presíncope (Véase en la imagen adjunta Figura 5a) y el siguiente hallazgo coincidiendo con un síncope (Figura 5b).
¿Cuál sería el tratamiento definitivo?
a) Angioplastia y colocación de un stent
b) Cirugía de bypass
c) Recambio protésico de su válvula aórtica, preferentemente con válvula biológica
d) Marcapasos definitivo
e) Implantación de un DAI
b) Cirugía de bypass
c) Recambio protésico de su válvula aórtica, preferentemente con válvula biológica
d) Marcapasos definitivo
e) Implantación de un DAI
Respuesta Correcta: D, Marcapasos definitivo.
El cuadro corresponde a un síndrome del nodo sinusal enfermo. En condiciones normales, el nodo sinusal es el marcapasos del corazón, por tener una frecuencia de despolarización más rápida que el resto de las estructuras del sistema de conducción cardíaco. En esta entidad, las células del nodo sinusal pierden capacidad de excitación automática, existe un bloqueo sinoauricular o ambas cosas. El síndrome del nodo sinusal enfermo pueden ocurrir tres hechos:
1.-BRADICARDIA SINUSAL.- La frecuencia de despolarización es menor de 50-60 Ipm y no se acelera con estímulos normales, como el ejercicio, la ansiedad o la administración.
2.-PAUSA O PARADA SINUSAL.- Se produce una ausencia de la generación del impulso y, por tanto, de la onda p en el ECG.
3.-SÍNDROME BRADICARDIA-TAQUICARDIA. Alternan una o las dos alteraciones anteriores con episodios paroxísticos de taquicardia supraventricular, siendo las más frecuentes la fibrilación y el flutter auricular.
La clínica más frecuente son los mareos paroxísticos, presíncopes y hasta síncopes, producidos por las pausas sinusales o bloqueos sinoauriculares. En el síndrome bradicardia-taquicardia, podríamos encontrar palpitaciones.
Para hacer el diagnóstico correcto, lo más importante es la correlación entre los síntomas y los datos del ECG. Por eso, el holter es la herramienta habitual para valorar la función del nodo sinusal. Si se confirma, el tratamiento consiste en la colocación de un marcapasos definitivo.
Anexo las indicaciones generales de los marcapasos:
El cuadro corresponde a un síndrome del nodo sinusal enfermo. En condiciones normales, el nodo sinusal es el marcapasos del corazón, por tener una frecuencia de despolarización más rápida que el resto de las estructuras del sistema de conducción cardíaco. En esta entidad, las células del nodo sinusal pierden capacidad de excitación automática, existe un bloqueo sinoauricular o ambas cosas. El síndrome del nodo sinusal enfermo pueden ocurrir tres hechos:
1.-BRADICARDIA SINUSAL.- La frecuencia de despolarización es menor de 50-60 Ipm y no se acelera con estímulos normales, como el ejercicio, la ansiedad o la administración.
2.-PAUSA O PARADA SINUSAL.- Se produce una ausencia de la generación del impulso y, por tanto, de la onda p en el ECG.
3.-SÍNDROME BRADICARDIA-TAQUICARDIA. Alternan una o las dos alteraciones anteriores con episodios paroxísticos de taquicardia supraventricular, siendo las más frecuentes la fibrilación y el flutter auricular.
La clínica más frecuente son los mareos paroxísticos, presíncopes y hasta síncopes, producidos por las pausas sinusales o bloqueos sinoauriculares. En el síndrome bradicardia-taquicardia, podríamos encontrar palpitaciones.
Para hacer el diagnóstico correcto, lo más importante es la correlación entre los síntomas y los datos del ECG. Por eso, el holter es la herramienta habitual para valorar la función del nodo sinusal. Si se confirma, el tratamiento consiste en la colocación de un marcapasos definitivo.
Anexo las indicaciones generales de los marcapasos:
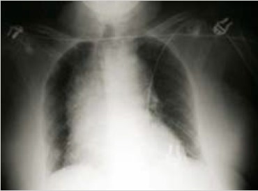
02.- Un varón de 68 años, con antecedentes de hipertensión arterial mal controlada, acude al Servicio de Urgencias con un dolor centrotorácico brusco y desgarrador, irradiado a espalda. La presión arterial es 200/110 mmHg. En la radiografía de tórax se aprecia lo que se muestra en la imagen adjunta.
Con respecto a este caso, la actitud más correcta sería:
a) Ingresarlo en la unidad intensiva, controlar la hipertensión y monitorización electrocardiográfica.
b)Realizar una TC y someterlo a tratamiento percutáneo
c) Administrar fibrinolíticos
d) Realizar TC con contraste o un ecocardiograma transesofágico, avisando además al cirujano cardiovascular
e) Realizar una TC torácica e ingresar en la unidad Intensiva
b)Realizar una TC y someterlo a tratamiento percutáneo
c) Administrar fibrinolíticos
d) Realizar TC con contraste o un ecocardiograma transesofágico, avisando además al cirujano cardiovascular
e) Realizar una TC torácica e ingresar en la unidad Intensiva
Respuesta correcta: D, Realizar una TC con contraste o un ecocardiograma transesofágico, avisando además al cirujano cardiovascular.
Ante este cuadro clínico, lo primero que deberías plantearte es una disección aórtica. Recuerda que, en un síndrome aórtico agudo, existe asociación con HTA aproximadamente en un 75% de los casos. De hecho, en este caso enfatizan el mal control de su hipertensión. Desde el punto de vista exploratorio, resulta muy típica la asimetría de los pulsos, que en este caso no nos mencionan.
La imagen clínica acompañante nos muestra un claro ensanchamiento del mediastino. Éste es el hallazgo radiológico más frecuente cuando se realiza una radiografía de tórax en este tipo de pacientes. A veces, también podríamos encontrarnos un derrame pleural, habitualmente izquierdo, por extravasación de sangre. No olvides que, hasta en un 20% de los casos, la radiografía torácica puede ser totalmente normal.
Tal como dice la respuesta D, deberíamos realizar una TC con contraste y avisar al cirujano cardíaco, ya que lo más probable es que se trate de una disección de aorta ascendente (tipo A de Stanford), cuyo tratamiento es quirúrgico. En caso de realizarse una TC, podríamos encontrar una imagen como la que se muestra a continuación. Presta atención a las flechas, que señalan la falsa luz en la que se muestra la disección. Recuerda que si la disección es tipo B, el tratamiento es conservador.
Ante este cuadro clínico, lo primero que deberías plantearte es una disección aórtica. Recuerda que, en un síndrome aórtico agudo, existe asociación con HTA aproximadamente en un 75% de los casos. De hecho, en este caso enfatizan el mal control de su hipertensión. Desde el punto de vista exploratorio, resulta muy típica la asimetría de los pulsos, que en este caso no nos mencionan.
La imagen clínica acompañante nos muestra un claro ensanchamiento del mediastino. Éste es el hallazgo radiológico más frecuente cuando se realiza una radiografía de tórax en este tipo de pacientes. A veces, también podríamos encontrarnos un derrame pleural, habitualmente izquierdo, por extravasación de sangre. No olvides que, hasta en un 20% de los casos, la radiografía torácica puede ser totalmente normal.
Tal como dice la respuesta D, deberíamos realizar una TC con contraste y avisar al cirujano cardíaco, ya que lo más probable es que se trate de una disección de aorta ascendente (tipo A de Stanford), cuyo tratamiento es quirúrgico. En caso de realizarse una TC, podríamos encontrar una imagen como la que se muestra a continuación. Presta atención a las flechas, que señalan la falsa luz en la que se muestra la disección. Recuerda que si la disección es tipo B, el tratamiento es conservador.
03.- Un varón de 32 años, fumador de un paquete diario, acude a Urgencias por dolor torácico izquierdo, irradiado a hombros, desde hace 48 horas. El dolor ha ido empeorando progresivamente y va en aumento con la inspiración profunda y el decúbito. Asimismo, el paciente refiere que, durante los últimos días, había presentado un cuadro de infección respiratoria con odinofagia, para lo que había tomado, por iniciativa propia, amoxicilina y paracetamol. Se realiza un ECG, obteniéndose la imagen adjunta.
Con respecto al cuadro que padece este paciente, es FALSO:
a) La etiología del cuadro habitualmente es idiopática.
b) Es recomendable pedir troponinas en la analítica, para valorar daño miocárdico.
c) Dados los hallazgos electrocardiográficos, se debería realizar un cateterismo cardíaco cuanto antes.
d) En caso de recurrencia los corticoides no deberían emplearse.
e) El tratamiento del dolor de este paciente se basa en los AINE.
b) Es recomendable pedir troponinas en la analítica, para valorar daño miocárdico.
c) Dados los hallazgos electrocardiográficos, se debería realizar un cateterismo cardíaco cuanto antes.
d) En caso de recurrencia los corticoides no deberían emplearse.
e) El tratamiento del dolor de este paciente se basa en los AINE.
Las características del dolor no son, en absoluto, sugestivas de síndrome coronario agudo, a pesar del hábito tabáquico del paciente, como tampoco lo es el antecedente de infección respiratoria reciente. El diagnóstico más probable es el de pericarditis aguda, cuyo electrocardiograma tiene cierto parecido con el del síndrome coronario agudo, con el que la pregunta trata de confundirnos. Recuerda que el roce pericárdico no siempre está presente.
El electrocardiograma que se nos muestra resulta típico de pericarditis aguda. Observa, en especial, estos dos detalles:
-La elevación del ST afecta a muchas derivaciones. Cuando se trata de un síndrome coronario agudo, habitualmente sólo lo veremos en las derivaciones que miran la cara que se está infartando (por ejemplo, en II, III y aVF, si afectase la cara inferior).
-La morfología del ST, cuando se trata de una pericarditis aguda, suele ser cóncava. En cambio, una elevación del ST de origen isquémico suele mostrar una convexidad. En algunos libros lo describen como “en lomo del delfín”. Pura poesía. Otros autores lo han comparado con una “aleta de tiburón”. En cualquier caso convexo en vez de cóncavo.
Otro dato sugestivo de pericarditis aguda es el descenso del PR. Es infrecuente, pero muy específico cuando aparece.
En las pericarditis nos e observan cambios especulares.
En caso de pericarditis suele elevarse más el ST en la derivación DII que en DIII.
Les anexo la gráfica del diagnóstico diferencial entre la pericarditis aguda y el IAM.
El electrocardiograma que se nos muestra resulta típico de pericarditis aguda. Observa, en especial, estos dos detalles:
-La elevación del ST afecta a muchas derivaciones. Cuando se trata de un síndrome coronario agudo, habitualmente sólo lo veremos en las derivaciones que miran la cara que se está infartando (por ejemplo, en II, III y aVF, si afectase la cara inferior).
-La morfología del ST, cuando se trata de una pericarditis aguda, suele ser cóncava. En cambio, una elevación del ST de origen isquémico suele mostrar una convexidad. En algunos libros lo describen como “en lomo del delfín”. Pura poesía. Otros autores lo han comparado con una “aleta de tiburón”. En cualquier caso convexo en vez de cóncavo.
Otro dato sugestivo de pericarditis aguda es el descenso del PR. Es infrecuente, pero muy específico cuando aparece.
En las pericarditis nos e observan cambios especulares.
En caso de pericarditis suele elevarse más el ST en la derivación DII que en DIII.
Les anexo la gráfica del diagnóstico diferencial entre la pericarditis aguda y el IAM.


































